Мой лайфхак для поездов
Четыре часа — это много или мало? Зависит от контекста. Например, четыре часа в поезде — это очень много, а четыре часа, чтобы написать крутую программу, которую давно хотел написать, — это очень мало, ведь можно потратить эти четыре часа на любимый сериал или на поход в бар с друзьями. Но тут опять четырёх часов не хватит — сериалы нынче выкладывают сразу целиком, и хочется посмотреть его целиком — на это и восьми часов не хватит!

Поэтому я открыл для себя удивительное - работа в поезде!
По возможности загружаю всё необходимое на лаптоп и за четыре часа успеваю сделать то, что откладывал месяцами! Ограниченное время не даёт отвлекаться на мелочи, поездка пролетает незаметно, а на выходе — новый готовый проект, инструмент или утилита.
Многие свои лучшие проекты я создал в поезде. А какие лайфхаки есть у вас?
Костей не соберешь
Оказывается, выражение «костей не соберёшь» имеет вполне реальное проявление в жизни. В этом году мы ездили, как обычно, кататься на лыжах. Катались в Зёльдене. В этот раз наши апартаменты были не в самом Зёльдене, а в соседнем городке, до которого ходил лыжный автобус.
На второй день с утра перед домом, где мы остановились, подморозило, и перед входом образовалась небольшая ледяная скользкая лужа. Обычно в Австрии все скользкие дорожки сразу посыпают, но в этот раз не успели, а я расслабился. Увидев автобус, я решил бодро до него пробежаться и... чьерд побьяри... навернулся прямо на спину.
Поскольку я был в горнолыжных ботинках и с лыжами, падение вышло не самым приятным. Лыжи я отбросил в падении, приземлился мягко на плечо — всё по правилам айкидо, вот только плечо все равно сказало «хрусть», и рука больше не захотела подниматься.
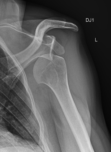
Вернувшись в аппартаменты и посмотрев на себя в зеркало я понял, что плечо само на место не встанет и вообще непонятно, что там, перелом или вывих, делать было нечего — вызвал скорую. Скорая приехала и отвезла меня в больницу в Зёльдене. Больница оказалась прямо у подъёмника, на который я так спешил. Сделали рентген — к счастью, ничего не было сломано, оказался обычный вывих, который мне сразу вправили. На всякий случай сделали ещё и МРТ, прописали обезболивающее, сказали, что купленные ски-пассы можно сдать и вернуть деньги за оставшиеся неиспользованные дни. Дали повязку на руку, которую нужно носить три недели, и отпустили домой.


Но тратить свой отпуск на то, чтобы сидеть в апартаментах, пока моя семья катается, мне не очень хотелось, поэтому уже на следующий день я был на горе. Катался с палками в одной руке, второй держался за лямку рюкзака – кататься нормально. Через несколько дней уже смог кататься с двумя палками, но все равно старался не напрягать руку.
Сейчас, спустя более месяца, рука почти не беспокоит. Делаю упражнения для укрепления мышц плеча, сейчас всё в порядке. Важный урок, который я из всего этого извлёк, — не нужно бегать в горнолыжных ботинках по льду.
Съездил в Альпы
Съездили покататься в этом году в горы. С погодой в этом году повезло, было солнечно и тепло. Поскольку ездили мы в Zell am See где рядом находится ледник Капрун на котором катаются даже летом, теплая погода в феврале никак на катанье не повлияла, хотя снег при +15 градусах Цельсия - такое себе.

В этом городе в отличии от других мест где мы катались есть железнодорожный вокзал, поэтому в Zell am See лучше ехать на поезде. В этот раз мы поехали на машине, но в прокатной конторе нам забыли сказать что у них нет держателей для лыж, хотя мы за них заплатили, из-за чего пришлось оставить свои лыжи в Берлине и брать лыжи в прокате. Хотя прокатные лыжи мне даже понравились больше собственных - жесткие, четкие, я прям почувствовал разницу. Спасибо Юрию из проката, с которым мы познакомились еще в прошлом году, за то что он мне их порекомендовал.
А еще дорога из Берлина на машине занимает весь день, что не добавляет отдыха. На обратном пути трафик был настолько плотный что пришлось вместо запланированных восьми ехать двенадцать часов.
BaselOne
Еду в Базель на конференцию BaselOne где будем делать с коллегой доклад на тему миграции легаси систем в облачные сервисы.
Страшно волнуюсь, очень хочется не налажать :)







